Die Deutschen sind in ihrer Bewertung des Gesundheitssystems tief gespalten, wie eine aktuelle Studie von Civey 2024...
Discover our latest articles and stay informed.
Die Deutschen sind in ihrer Bewertung des Gesundheitssystems tief gespalten, wie eine aktuelle Studie von Civey 2024...
Gene, die den zirkadianen Rhythmus regulieren, zeigen im Alter eine deutlich andere Ausprägung als in jüngeren Jahren....
Das antivirale Medikament Tecovirimat verkürzte weder die Zeit bis zur Heilung der Läsion noch hatte es eine Wirkung...
Die deutsche Pharmaindustrie verzeichnet im ersten Halbjahr 2024 erhebliche Rückgänge bei Produktion und Außenhandel....
Die Zahl der Sterbefälle in Deutschland lag im November 2024 deutlich unter dem Durchschnitt der Vorjahre. Nach...
Acht Jahre war EvH-Rektorin Sigrid Graumann Mitglied im Deutschen Ethikrat. Jetzt zieht die Professorin im Interview...
Experten des Fraunhofer IPA vereinfachen für Medizintechnikunternehmen mit einem Leitfaden den Einstieg in die...
Eine Auswertung des Wissenschaftlichen Instituts der AOK (WIdO) für den Pflege-Report 2024 zeigt innerhalb...
Die rasante Entwicklung der Künstlichen Intelligenz (KI) bringt nicht nur technologische Fortschritte, sondern auch...
Einem MHH-Forschungsteam ist es gelungen, erstmals ein blutbildendes Herzorganoid herzustellen. Dabei handelt es sich...
Die Deutsche Gesellschaft für Klinische Chemie und Laboratoriumsmedizin (DGKL) hat heute einen umfassenden...
Die Delegiertenversammlung der Ärztekammer Hamburg fordert den Senat der Freien und Hansestadt Hamburg auf, den Zugang...
Es ist ein Novum: Mit Mikropartikel aus hauchdünnen Blättern können Medikamente über die Blutbahn punktgenau zu einem...
Neue Zahlen der Europäischen Umweltagentur (EEA) belegen laut der Deutsche Umwelthilfe (DUH) "die gravierenden Folgen...
Candida albicans (C. albicans), der häufigste menschliche Pilzerreger, verursacht eine Vielzahl an Krankheiten, die...
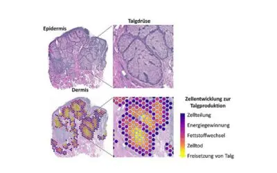
Forschende der Medizinischen Fakultät Heidelberg der Universität Heidelberg beschreiben im Fachjournal Nature...
Eine flächendeckende, qualitativ hochwertige und technologisch fortschrittliche Labormedizin ist essenziell für...
Ein Team von Wissenschaftlerinnen und Wissenschaftlern um Annette Beck-Sickinger vom Institut für Biochemie der...