Die Deutsche Gesellschaft für Klinische Chemie und Laboratoriumsmedizin (DGKL) hat sich bei Prof. Josef Hecken, dem...
Discover our latest articles and stay informed.
Die Deutsche Gesellschaft für Klinische Chemie und Laboratoriumsmedizin (DGKL) hat sich bei Prof. Josef Hecken, dem...
Das durch körperliche Aktivität freigesetzte hormonähnliche Molekül Irisin könnte bei Multipler Sklerose (MS)...
Die Deutsche Interdisziplinäre Vereinigung für Intensiv- und Notfallmedizin (DIVI) sieht im Kabinettsentwurf zur...
Die Technologie- und Methodenplattform für die vernetzte medizinische Forschung (TMF) begrüßt zusammen mit führenden...
Ein bevölkerungsweites Screening auf frühe Stadien von Typ-1-Diabetes in der regulären kinderärztlichen Versorgung ist...
Die unparteiischen Mitglieder des Gemeinsamen Bundesausschusses (G-BA) begrüßen grundsätzlich die Ziele des geplanten...
Forschende des Instituts für Anatomie der Universität Leipzig haben in Zusammenarbeit mit internationalen Partnern...
Die Weltgesundheitsorganisation (WHO) hat den aktuellen Ebola-Ausbruch in der Demokratischen Republik Kongo und Uganda...
Ein neues KI-gestütztes Framework ermöglicht erstmals hochauflösende Ganzkörper-Analysen intakter Mäuse und deckt...
Eine geplante frühzeitige Geburtseinleitung ab der 34. Schwangerschaftswoche bei Frauen mit Bluthochdruckerkrankungen...
Ohne das Strukturprotein Keratin können sich Zellen im Embryo nicht richtig bewegen und das Gewebe bricht während der...
Vitamin C kann die Entstehung potenziell krebserregender Nitrosierungsprodukte aus Nitraten und Nitriten in der...
Ein seit Jahrzehnten zugelassenes Asthma-Medikament könnte die Behandlung aggressiver Krebserkrankungen verbessern....
Aktuelle Entwicklungen in der Protein-Biomarker-Forschung stehen im Mittelpunkt eines internationalen Workshops, den...
Mit einer optimierten Dosierungstechnik lässt sich der hohe Propofol-Verwurf im Operationssaal deutlich reduzieren....
Eine Überaktivität des Signalproteins CaMKIIδ ist der entscheidende Treiber der seltenen RBM20-Kardiomyopathie. Das...
Der Berufsverband Deutscher Laborärzte (BDL) begeht sein 70-jähriges Bestehen mit einer Jahrestagung am 21. und 22....
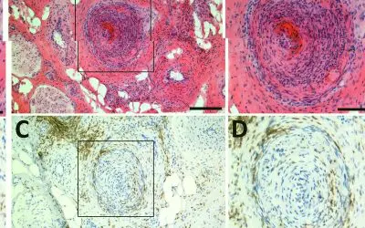
Ein internationales Forschungsteam unter Leitung von Dr. Wolfgang Merkt vom Universitätsklinikum Heidelberg hat einen...