Eine von der Cleveland Clinic geleitete Forschungszusammenarbeit zwischen Timothy Chan, MD, PhD, dem...
Discover our latest articles and stay informed.
Eine von der Cleveland Clinic geleitete Forschungszusammenarbeit zwischen Timothy Chan, MD, PhD, dem...
Eine neue Studie dokumentiert, wie die Bewohner Südkaliforniens chronisch giftigen Chemikalien in der Luft ausgesetzt...
Krebserregende Stoffe in Lebensmitteln sind nicht so selten wie vielfach angenommen - auf einige sollten Sie besonders...
Die Medizinische Hochschule Hannover (MHH) etabliert mit ihrer fortschrittlichen Weiterbildung für Medizinische...
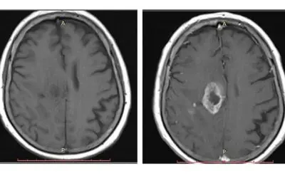
Im Bereich der Radiologie, wo eine korrekte Diagnose für die ordnungsgemäße Versorgung der Patienten entscheidend ist,...
Die geplante GOÄ-Novelle hat weitreichende Folgen für die Labormedizin - und letztendlich negative Auswirkungen auf...
Das frühzeitige Erkennen von Anzeichen und Symptomen eines Lymphödems ist entscheidend, um Betroffenen unnötiges...
Der Proteinkompass 2024 zeigt auf, wie Menschen in Deutschland ihren Proteinbedarf decken. Die Ergebnisse geben einen...
Das Thema erfordert medizinisches Verantwortungsbewusstsein - könnte aber vielen Patienten helfen: Schwer erkrankte...
Es ist eine kleine Sensation: Entgegen der öffentlichen Wahrnehmung half die Covid-19-Pandemie nicht, die...
Eine neue Methode zum schnellen und genauen Nachweis von Nanopartikeln und Viren stellt einen wichtigen Fortschritt in...
Erstmals konnten LMU-Forschende zeigen, dass bestimmte Immunzellen bereits in frühen Stadien von Multipler Sklerose...
Die Deutsche Gesellschaft für Klinische Chemie und Laboratoriumsmedizin (DGKL) hat auf dem Deutschen Kongress für...
Für eine automatisierte und validierbare Desinfektion von Labor-Kleingeräten habenWissenschaftler des Fraunhofer...
Der Berufsverband für Orthopädie und Unfallchirurgie (BVOU) e.V. lehnt den aktuellen Vorschlag des...
Geheimpreise seien angesichts 105 Prozent Zuwachs bei Nettokosten von patentgeschützten Arzneimitteln das völlig...
Egal, ob die empfohlene wöchentliche Menge an körperlicher Aktivität mehrfach pro Woche in kleineren Einheiten oder...
Die Deutsche Gesellschaft für Klinische Chemie und Laboratoriumsmedizin (DGKL) hat gleich zwei Förderpreise vergeben....